Interaction Sakura: Blend-in concept uitgebreid
Elephants keramiek voor zirkoonoxide onderstructuren is nu ook beschikbaar in het blend-in concept.

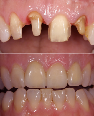
17 februari 2011 – Elephants keramiek voor zirkoonoxide onderstructuren, Interaction® Sakura, is nu ook beschikbaar in het blend-in concept. In de bijbehorende nieuwe verpakking vindt u voor alle indicaties een oplossing. Ook wanneer het een mix aan indicaties betreft zoals een kroon naast veneers.
In één keer goed
Interaction Sakura is geschikt voor zirkoonoxide onderstructuren die een TEC-waarde hebben van 10,0 tot 10,6 µm/m.K (25 °C - 500 °C). Met deze keramiek vervaardigt u op eenvoudige wijze kronen en bruggen die esthetisch in één keer goed zijn.
Voor de volgende indicaties wordt Interaction Sakura ingezet:
|
In combinatie met Cercon/Compartis CAM |
|
Conventionele technieken |
|
Alle indicaties met dezelfde keramiek
Een mix van indicaties met hetzelfde materiaal verzorgen, het is mogelijk met Interaction
Sakura. Het gevolg is een esthetisch topresultaat. Kronen naast veneers* in een frontrestauratie, gemaakt met dezelfde keramiek. Dit is ook posterior mogelijk door bruggen naast keramische inlays te plaatsen. Alles vervaardigd met hetzelfde materiaal en de voordelen van de blend-in dynamics.

* Fotomateriaal: Norbert Pack.
Op onderstaande zirkoonoxide onderstructuren is Interaction® Sakura getest:
- Cercon Base/Disc en Compartis Zirconium oxide (DeguDent)
- NobelProcera Zirconia (Nobel Biocare)
- DC Zirkon® (DCS)
- VITA In-Ceram® 2000 YZ CUBES for inLab® (VITA)
- Lava™ Zirconia (3M Espe)
- BioZyram® Zirconia (Oratio B.V.)
- Schick Zirconia (Schick Dental)
- Zirkonzahn® (Enrico Steger)
Kunt u niet vinden wat u zoekt? Gebruik de zoekmachine.
december 2025
In dit nummer onder meer aandacht voor een artikel van Tim Janssen: 'De kunst van maatwerk - precisie met impact, Digitale workflows mogen niet leiden tot onpersoonlijke "massa-productie", IPS e.max: Alles wat nodig is voor complexe esthetische rehabilitaties, Ortho-Flex: precisie, familie en vernieuwing in de orthodontische tandtechniek, verslag van de voordracht 'Orthodontie met alveolaire chirurgische ondersteuning' van Coen Oldenburg tijdens de AV van de Branchevereniging Tandtechniek in Slot Loevestein, verslag van DHTA Symposium Bridging the Gap met Herman Willems van Blijdent over digitalisering, 4D-technologie en de virtuele patient en Gert Krijgsman en Karl van Harck van Bredent over Visio.lign in de praktijk, verslag Kroon en Brugwerk onder de Loep 2025, de eerste groepen geslaagden Digital Prosthetic Designer (DPD)-opleiding en de introductie van de een Instapcursus Digitale Prothese met 3Shape op zaterdag 21 maart 2026, Mijnmond.info-Vacature-overzicht, de Dentale Agenda en het Kwaliteitsregister Tandtechniek en meer.
Verspreiding in december 2025.
Heeft u nieuws voor het volgende nummer of een interessante casus? Neem dan contact op met de redactie.